
City Smile Stomatologia Estetyczna i mikroskopowa- dentysta Wrocław, ortodonta, implanty, stomatolog dziecięcy
Lokalizacja
Ladowanie mapy...
Jesionowa 49/U1, 50-504 Wrocław, Polska
O firmie
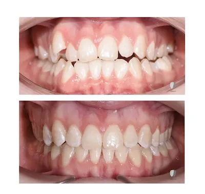
### City Smile – stomatologia z pasją we Wrocławiu W sercu Wrocławia, przy ulicy Jesionowej 49/U1, działa gabinet City Smile, specjalizujący się w stomatologii estetycznej i mikroskopowej. Placówka oferuje szeroki zakres usług, w tym leczenie ortodontyczne, implanty oraz opiekę stomatologiczną dla dzieci. Zespół pod kierunkiem dr Eweliny Pszenicznej-Saj cieszy się wysoką oceną 4.7/5 w Google na podstawie 71 opinii, co świadczy o solidnej reputacji wśród pacjentów. Gabinet wyróżnia się nowoczesnym sprzętem i precyzyjnymi zabiegami, takimi jak leczenie kanałowe pod mikroskopem, które często ratują zęby przed ekstrakcją. Pacjenci podkreślają profesjonalizm lekarzy, dokładne wyjaśnianie planów leczenia oraz bezstresową atmosferę. Wielu chwali dr Ewelinę za indywidualne podejście, empatię i skuteczność – od bezbolesnych zabiegów po opiekę nad całymi rodzinami, w tym najmłodszymi, dla których w poczekalni czekają klocki i lizaki. Opinie wskazują na miłą obsługę recepcji i asystentek, a także trwałe efekty leczenia, jak stabilne plomby czy udane ortodoncji. Choć pojawiają się pojedyncze uwagi o cenach czy organizacji, kolejki do specjalistów mówią same za siebie. City Smile to miejsce, gdzie pacjenci czują się zaopiekowani na każdym etapie. Dla mieszkańców Wrocławia szukających kompleksowej stomatologii, gabinet stanowi sprawdzoną opcję na piękny i zdrowy uśmiech. (Słowa: 218)
Co mowia klienci
“Gabinet City Smile cieszy się przeważnie bardzo pozytywnymi opiniami, chwalonymi za profesjonalizm dr Eweliny Pszenicznej-Saj i zespołu, miłą atmosferę oraz skuteczne leczenie. Pacjenci doceniają dokładne wyjaśnienia, nowoczesny sprzęt i indywidualne podejście, co sprawia, że wizyty są bezstresowe. Pojawiają się jednak skargi na ukryte koszty i obsługę.”
Mocne strony
- Profesjonalizm i empatia lekarzy, zwłaszcza dr Eweliny Pszenicznej-Saj
- Miła atmosfera, uprzejmy personel od recepcji po asystentki
- Dokładne wyjaśnienia planu leczenia i bezbolesne zabiegi
- Nowoczesny, czysty gabinet i skuteczne leczenie (np. kanałowe, plomby)
- Przyjazne dla dzieci i rodzin (zabawki, lizaki)
Do poprawy
- Ukryte koszty i nagły wzrost cen usług
- Chamska obsługa przy pytaniach o szczegóły cen
- Niewłaściwe postępowanie z dzieckiem (znieczulenie bez zabiegu)
Idealne dla
Dla rodzin, dzieci i dorosłych szukających bezstresowej, profesjonalnej opieki stomatologicznej z indywidualnym podejściem.
Kategorie
Podobne firmy w okolicy

Orto Face - Ortodonta Wrocław
M-dent Magdalena Nadolna-Karpińska

mf.dent STOMATOLOGIA - ortodoncja, Invisalign, protetyka, endodoncja, stomatologia

Prime Dental

Centrum Ortodontyczne OrthoLine Patrycja Downarowicz

Ortodonta OrthoTeam Stomatologia Warmuz - Implanty zębowe
Inne firmy w okolicy
M. Wnętrza

JJD Ubezpieczenia Wrocław | GAP

Przedszkole Niepubliczne ABC – Wrocław Krzyki

Tworzenie stron internetowych PWA
DOTCOFFEE.Nyska
Gabinet Ginekologiczny Andrzej Szewczuk, Specjalista Ginekolog-Położnik

Wowme
MIA studio
Szkoła nauki jazdy OSK Ósemka Wrocław

Blacharstwo i lakiernictwo - Salnik

Nasz Zarządca

Podolog MintyCare
Znamy się
Kame Gym Wrocław

Makijaż Ślubny - Time for make-up

Portrety, zdjęcia biznesowe, sesje wizerunkowe - Marcin Biodrowski
Myjnia Nyska - Myjnia Ręczna
DC-Klima
Piękna27 Skin Clinic | Wrocław

Psycholog, Mediator Wrocław - Centrum Rozwojowe MOVE Jakub Konarzewski